
قبل از مرتب کردن دندان ها، باید تکلیف لثه هایتان روشن شود
خیلی از ما فکر می کنیم ارتودنسی فقط یعنی ردیف کردن دندان ها. اما واقعیت این است که کل این ماجرا، روی سلامت لثه ها و استخوان زیرشان سوار است. شروع ارتودنسی با لثه هایی که حال خوشی ندارند، مثل این است که بخواهید روی یک زمین شل و باتلاقی، یک ساختمان چند طبقه بسازید. خب معلوم است که نتیجه اش چیزی جز فاجعه نیست. برای همین، قبل از اینکه حتی به این فکر کنید که چه نوع روش ارتودنسی را انتخاب کنید، باید بدانید که ویژگی های لثه مناسب برای درمان ارتودنسی چیست و چرا دکتر شما تا حد زیادیروی این موضوع حساس است.
چرا لثه سالم تا حد زیادی در ارتودنسی نقش مهمی دارد؟
برای اینکه بفهمیم چرا لثه ها اینقدر مهم هستند، باید بدانیم در طول ارتودنسی چه اتفاقی زیر پوست شهر (یعنی در استخوان فک ما) می افتد. خب قبل از همه بگوییم که حرکت دندان ها یک فرآیند بیولوژیک است. فشاری که دستگاه های ارتودنسی به دندان می آورند، باعث می شود سلول های استخوانی دور ریشه فعال شوند.
در سمتی که دندان به آن طرف حرکت می کند، استخوان خوردهمی شود تا راه باز شود و در سمت مقابل، استخوان جدید ساخته می شود تا جای خالی را پر کند. این فرآیند بازسازی، به یک محیط کاملاً سالم و بدون التهاب نیاز دارد.

حالا فرض کنید لثه های شما از قبل بیمار و ملتهب باشند…
این یعنی کلی باکتری مضر آنجا جمع شده و سیستم دفاعی بدن تان درگیر یک جنگ دائمی است. اگر در این شرایط به دندان ها فشار بیاوریم، مثل این است که روی آتش بنزین بریزیم. این کار نه تنها حرکت سالم دندان را مختل می کند، بلکه می تواند باعث شود استخوان با سرعت بیشتری تحلیل برود و حتی کار به جایی برسد که دندان ها لق شوند.
برای همین است که هیچ متخصص ارتودنسی باوجدانی، روی لثه بیمار درمان را شروع نمی کند. و حتما و حتما روی وجود لثه مناسب برای درمان ارتودنسی پافشاری می کند.
بیشتر بخوانید: ارتودنسی چگونه دندان ها را صاف می کند؟ (توضیح حرکات ارتودنسی)
یک لثه سالم و آماده به خدمت چه شکلی است؟
یک متخصص ارتودنسی قبل از شروع کار، با دقت وضعیت لثه های شما را چک می کند. او دنبال چند نشانه کلیدی است که به او بگویند فونداسیون کار محکم است. این ویژگی های لثه مناسب برای درمان ارتودنسی را شما هم می توانید تا حدی تشخیص دهید.
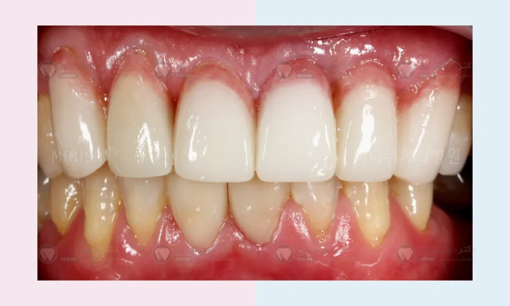
۱. رنگ لثه باید صورتی هلویی باشد، نه قرمز جیغ
این اولین و راحت ترین نشانه جهت تشخیص لثه مناسب برای درمان ارتودنسی است. لثه های سالم، یک رنگ صورتی روشن و مات دارند. هر نوع قرمزی شدید، براق بودن غیرطبیعی یا رنگ مایل به بنفش، یک چراغ قرمز است که می گوید لثه ها ملتهب هستند. این قرمزی به خاطر این است که خون زیادی برای جنگ با میکروب ها به آن ناحیه فرستادهشده.
۲. لثه سالم موقع مسواک زدن آبروداری می کند و خونریزی ندارد
اگر وقتی مسواک می زنید یا نخ دندان می کشید، لثه هایتان خون می آید، این یک علامت صد در صدی از وجود التهاب است. رگ های خونی در لثه ملتهب، خیلی شکننده و حساس هستند و با کوچکترین تماسی پاره می شوند. پس، یکی از مهم ترین ویژگی های لثه مناسب برای درمان ارتودنسی، همین عدم خونریزی است.

۳. لثه باید مثل یک یقه محکم، دور دندان را گرفته باشد
لثه سالم، سفت و محکم به دندان چسبیده. بافتش باید مقاوم باشد، نه شل و ول و پف کرده. لبه های لثه در فضای بین دندان ها هم باید تیز و مثلثی شکل باشد و این فضا را کامل پر کرده باشد. لثه هایی که ورم دارند و لبه هایشان گرد است، یعنی پر از مایع التهابی هستند.
۴. نباید فاصله عمیقی بین لثه و دندان وجود داشته باشد
بین لبه لثه و دندان، یک شیار خیلی باریک هست. در حالت عادی، عمق این شیار نباید بیشتر از ۳ میلی متر باشد. دندانپزشک با یک وسیله مخصوص این عمق را اندازه می گیرد. اگر عمق این شیار زیاد شود (که به آن “پاکِت” می گویند)، یعنی بیماری از التهاب ساده رد شدهو به استخوان رسیده و استخوان در حال تحلیل رفتن است. وجود پاکت عمیق، یعنی شما فعلاً لثه مناسب برای درمان ارتودنسی را ندارید و بایدصبر کنید!
اگر لثه هایم این شرایط را نداشت، یعنی دیگر نباید ارتودنسی کنم؟
نه، اصلاً و ابداً! این بهترین قسمت ماجراست. این فقط یعنی شما “فعلاً” آماده نیستید و باید یک مرحله پیش نیاز را بگذرانید.
اگر متخصص ارتودنسی تشخیص دهد که لثه های شما سالم نیستند، شما را پیش یک “متخصص بیماری های لثه” یا “پریودنتیست” می فرستد. این دو دکتر با هم یک تیم می شوند تا شما را برای درمان اصلی آمادهکنند.

روند درمان لثه قبل از ارتودنسی معمولاً اینطوری است:
- اولین قدم، یک جرم گیری کامل و حرفه ای برای پاک کردن تمام جرم ها و میکروب ها از بالا و زیر لثه است.
- متخصص به شما یاد می دهد که چطور درست مسواک بزنید و نخ دندان بکشید تا جلوی تجمع دوباره میکروب ها را بگیرید.
- اگر بیماری لثه شما پیشرفته باشد، ممکن است به درمان های عمیق تری مثل صاف کردن سطح ریشه یا حتی جراحی لثه نیاز داشته باشید.
- بعد از درمان، باید چند ماه صبر کنید تا لثه ها کاملاً خوب شوند و به یک وضعیت پایدار و سالم برسند.
بعد از اینکه متخصص لثه سلامت کامل لثه های شما را تأیید کرد، یعنی لثه مناسب برای درمان ارتودنسی را دارید و میتوانید درمانتان را شروع کنید.
یک مقایسه سریع بین لثه سالم و ناسالم
برای اینکه راحت تر در ذهن تان بماند، بیایید این دو را در یک جدول ساده کنار هم ببینیم:
ویژگی | لثه سالم (آماده برای ارتودنسی) | لثه ناسالم (نیاز به درمان اولیه) |
---|---|---|
رنگ | صورتی هلویی و مات | قرمز تیره، براق یا بنفش |
خونریزی | موقع مسواک زدن خون نمی آید | با کوچکترین تماسی خون می آید |
شکل | محکم، چسبیده به دندان، لبه های تیز | پف کرده، متورم، لبه های گرد |
فاصله با دندان | شیار کم عمق (۱ تا ۳ میلی متر) | شیار عمیق یا پاکت (بیشتر از ۴ میلی متر) |
فقط فقط یادتان باشد که ارتودنسی یک کار تیمی است…
همکاری بین شما، متخصص ارتودنسی و متخصص لثه، کلید اصلی دست یابی به یک نتیجه نهایی زیبا، کارآمد و از همهمهم تر، سالم و ماندگار است. قبل از اینکه به فکر چیدمان خانه (دندان ها) باشید، مطمئن شوید که پی و فونداسیون (لثه ها) کاملاً محکم و آمادهاست. چطور مطمپن شویم؟ خیلی راحت است یک جلسه ویزیت تخصصی با ما در کلینیک های دکتر درویش پور داشتهباشید ما شما را در این خصوص راهنمایی می کنیم.
پاسخ به سوالات رایج درباره ویژگی های لثه مناسب برای درمان ارتودنسی
نه. بریس ها خودشان کاری نمی کنند، اما تمیز کردن را سخت می کنند. اگر شما در رعایت بهداشت تنبلی کنید، بله، لثه هایتان به مشکل می خورد.
بستگی دارد. اگر تحلیل لثه به خاطر بیماری فعال باشد، اول باید آن را درمان کنید.
معمولاً نه. باید چند ماه صبر کنید تا لثه ها کاملاً خوب و پایدار شوند.
با رعایت دقیق بهداشت (مسواک، نخ دندان، واترجت) و مراجعه منظم برای چکاپ.